Mini人間ドック[MRI・CT・エコー]のご案内
![Mini人間ドック<span class="title-sp-small">[MRI・CT・エコー]</span>のご案内](/_nuxt/pc_kv.Cs_Hq1nY.jpg)
![Mini人間ドック<span class="title-sp-small">[MRI・CT・エコー]</span>のご案内](/_nuxt/sp_kv.td3Z-pxj.jpg)
![Mini人間ドック<span class="title-sp-small">[MRI・CT・エコー]</span>のご案内](/_nuxt/pc_kv.Cs_Hq1nY.jpg)
![Mini人間ドック<span class="title-sp-small">[MRI・CT・エコー]</span>のご案内](/_nuxt/sp_kv.td3Z-pxj.jpg)
MRI (磁気共鳴画像法) を使用して、脳の健康状態を検査することで、脳に関わる疾患やリスクを早期発見することができます。
※ 検査は医療機関で行われ、chocoZAPでは一切の医療行為を行いません。

※ 画像はイメージです。
脳血管の病変 (虚血、梗塞、出血) のほか、脳の萎縮、脳腫瘍などの発見に有効とされております。

※ 画像はイメージです。
※検査方法によって分かる病変が異なりますので、詳しくは提携医療機関にご相談ください。
CT検査はX線を使って体の内部を撮影、レントゲンやエコーと違い、体を輪切りに撮影して小さな病変を発見します。X線検査 (レントゲン) で見つけにくいような小さな病変の早期発見にも有効と言われています。
※ 検査は医療機関で行われ、chocoZAPでは一切の医療行為を行いません。
※ 造形剤を使用しない単純CT検査であり内視鏡検査等は含みません。
※ CT検査のみで全ての初期病変が発見できるものではありません。
※ 胸部CTか腹部CTどちらか1つを選択いただきます。

※ 画像はイメージです。
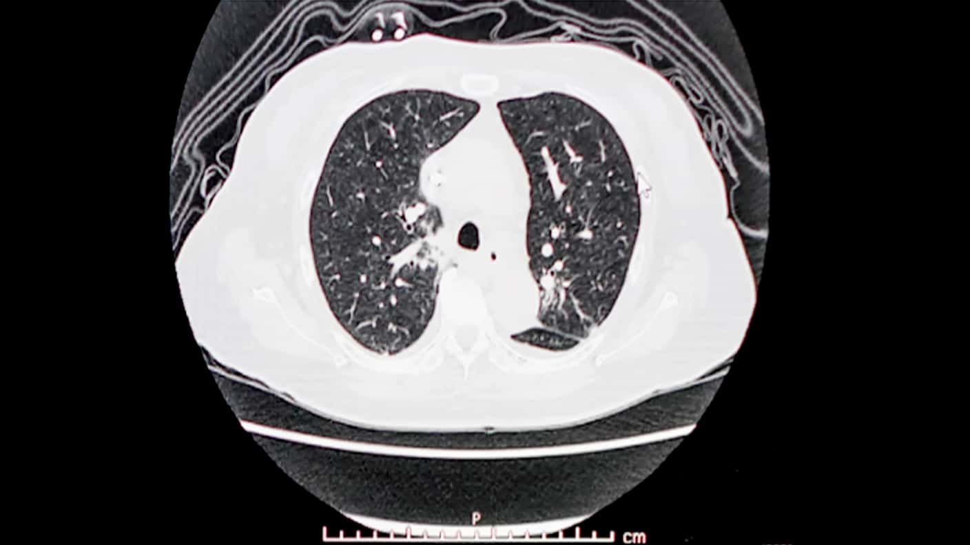
胸部CTでは、主に肺の疾患 (肺がん、肺炎、肺気腫) や、心臓・心血管の疾患・異常 (狭心症、心筋梗塞) を、腹部CTでは腹部臓器 (肝、胆、膵、脾、腎臓) の腫瘍などの病変の早期発見に有効です。
肺のCT画像

※ 画像はイメージです。
超音波の反射を画像に変換し、腫瘤などの病変を発見します。妊娠時の胎児検査でも使われるように安全性高く、マンモグラフィーのような痛みがないため、安心して受けることができます。
※ 検査は医療機関で行われ、chocoZAPでは一切の医療行為を行いません。
※ 乳腺エコーか腹部エコーどちらか1つを選択いただきます。

※ 画像はイメージです。
乳がんをはじめとする乳房の各種病変や腹部臓器の病変がわかります。女性の方(特に40代以上の方)で、これまで乳がん検診を受けたことがない方や、しばらく受けていない方はおすすめです。
※ エコー検査のみで全ての病変が発見できるものではありません。
※ 画像はイメージです。